TERAPIA CONSERVATIVA

Studio Odontoiatrico Forlì Dentista
Studio Odontoiatrico Forlì Dentista
Dentista Studio Odontoiatrico Forlì

TERAPIA CONSERVATIVA

Che cos'è la conservativa?

La conservativa è la branca dell’odontoiatria che si occupa del trattamento e della ricostruzione degli elementi dentari colpiti da patologia cariosa o lesioni traumatiche. Il restauro degli elementi dentari avviene tramite tecniche dirette (otturazioni) in resine composite o tecniche indirette (intarsi e faccette) in materiali ceramici o resine composite. Con le tecniche conservative è possibile correggere anche inestetismi acquisiti o congeniti (discromie, elementi conoidi), per migliorare l’estetica del sorriso. Quando necessario, per ottimizzare la resa estetica, i denti da trattare o quelli adiacenti possono essere sbiancati in fase preliminare con apposite sostanze a base di Perossido d’Idrogeno (sbiancamento esterno); anche i denti necrotici/devitalizzati che talvolta possono apparire decisamente più cromatici rispetto a quelli adiacenti possono essere trattati con ottimi risultati (decolorazione interna), al fine di raggiungere un’ottima armonia estetica.
Studio Odontoiatrico Forlì Dentista

L’utilizzo della diga di gomma, un ausilio terapeutico che consente un perfetto isolamento del campo operatorio, è imprescindibile per ottenere risultati costanti ed eccellenza. Le attuali tecniche adesive, utilizzate sia in conservativa che in protesi, danno risultati duraturi soltanto con l’uso della diga. Anche in endodonzia è indispensabile per evitare sovrainfezioni del canale radicolare e conseguenti lesioni apicali (insuccesso); inoltre previene il rischio di ingestione o inalazione di corpi estranei o liquidi nocivi durante le fasi operative.  Purtroppo a tutt’oggi, non è ancora completamente diffusa nella pratica quotidiana di molti professionisti. La foto mostra un particolare della diga appena montata per il rifacimento di una vecchia otturazione.

Caso clinico

La perdita di sostanza dentaria di parte della corona di questi elementi a causa di fenomeni di erosione chimica (bevande gasate e acide) e abrasione (bruxismo) comporta un restauro conservativo indiretto: intarsi in ceramica (disilicato di litio). Il risultato è assolutamente invisibile e biomimetico. Naturalmente, il paziente dovrà cambiare le sue abitudini alimentari e utilizzare un bite notturno per proteggere la dentatura da eventuali parafunzioni.

Studio Odontoiatrico Forlì Dentista
PRIMA
Studio Odontoiatrico Forlì Dentista
DOPO
PRIMA
DOPO
PRIMA
DOPO

Caso clinico

La paziente (giovane modella) si presenta con diverse fratture a livello degli elementi anteriori di destra, in seguito a trauma. Grazie a dei restauri adesivi estetici in composito, tali elementi sono stati pienamente recuperati sia da un punto di vista funzionale, che estetico. Questa tipologia di restauri consente di ripristinare forma e funzione, senza rimuovere tessuto dentale ulteriore, ma ripristinando solo la parte mancante.

Caso clinico

La giovane paziente si presenta con frattura degli incisivi superiori in seguito a trauma, complicata da esposizione pulpare a livello dell’incisivo superiore di sinistra. Mantenendo la vitalità dell’elemento grazie alla tecnica dell’incapucciamento, per mezzo di appositi materiali (senza ricorrere a devitalizzazione), gli incisivi sono stati ripristinati con restauri adesivi estetici in composito. A distanza di molti anni l’elemento mantiene la propria vitalità.
PRIMA
DOPO
PRIMA
DOPO

Caso clinico

La paziente si presenta per risolvere l’estetica dell’incisivo laterale superiore di sinistra, elemento conoide (dente con anomalia morfologica, di dimensioni ridotte). Il caso è stato brillantemente risolto con una faccetta ceramica in disilicato di litio, in modo da mimare perfettamente l’estetica dei denti naturali.

Caso clinico

La giovane paziente si presenta perché non soddisfatta dell’estetica dell’incisivo laterale superiore di destra, conoide (dente con anomalia morfologica, di dimensioni ridotte). Alla luce della giovane età, e quindi di una possibile ulteriore maturazione dei tessuti molli, in accordo con la paziente, si è optato per un restauro estetico diretto in composito, per ripristinare morfologia ed estetica tramite una faccetta “diretta” in composito, con piena soddisfazione.
PRIMA
DOPO
PRIMA
DOPO

Caso clinico

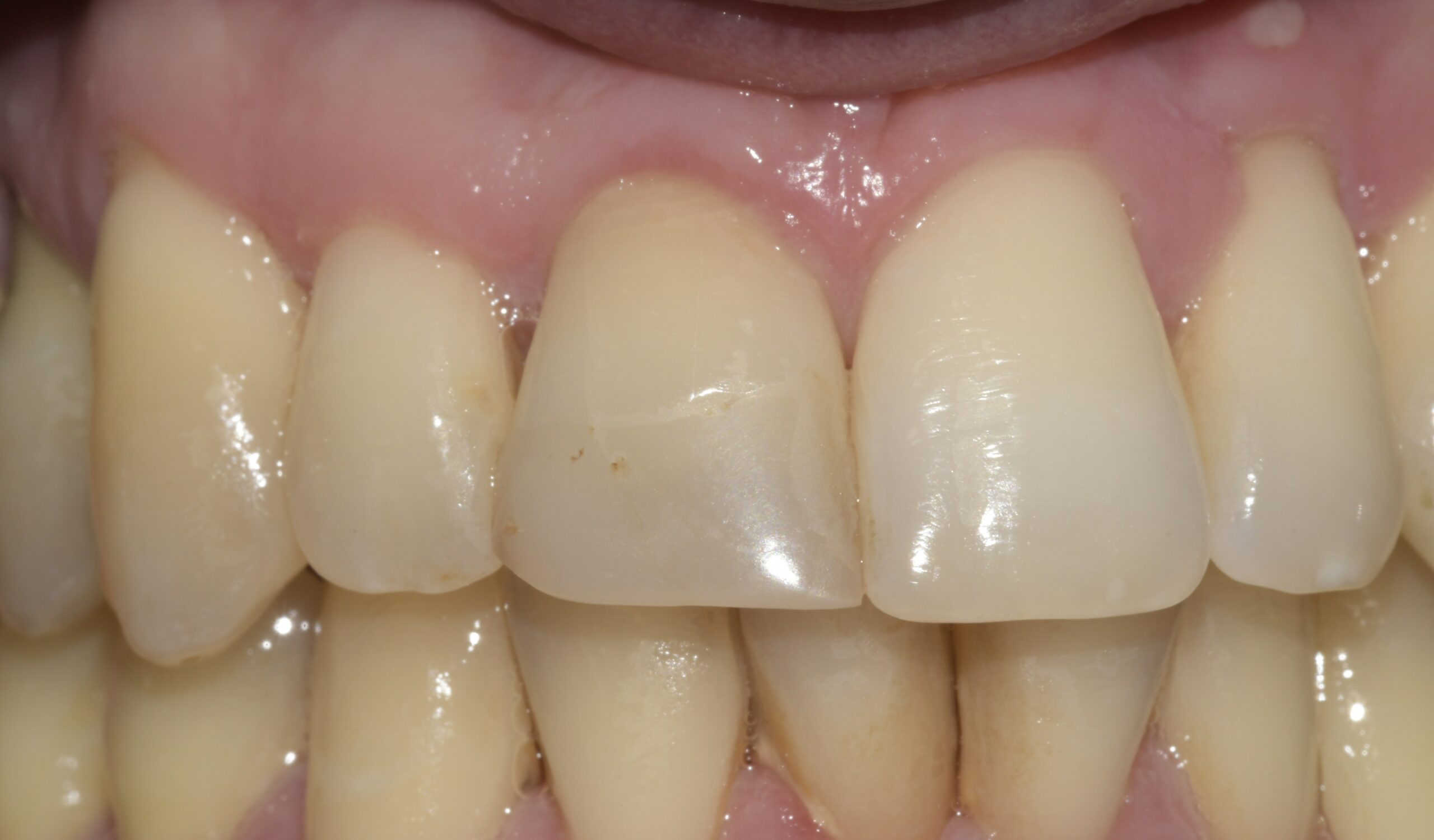
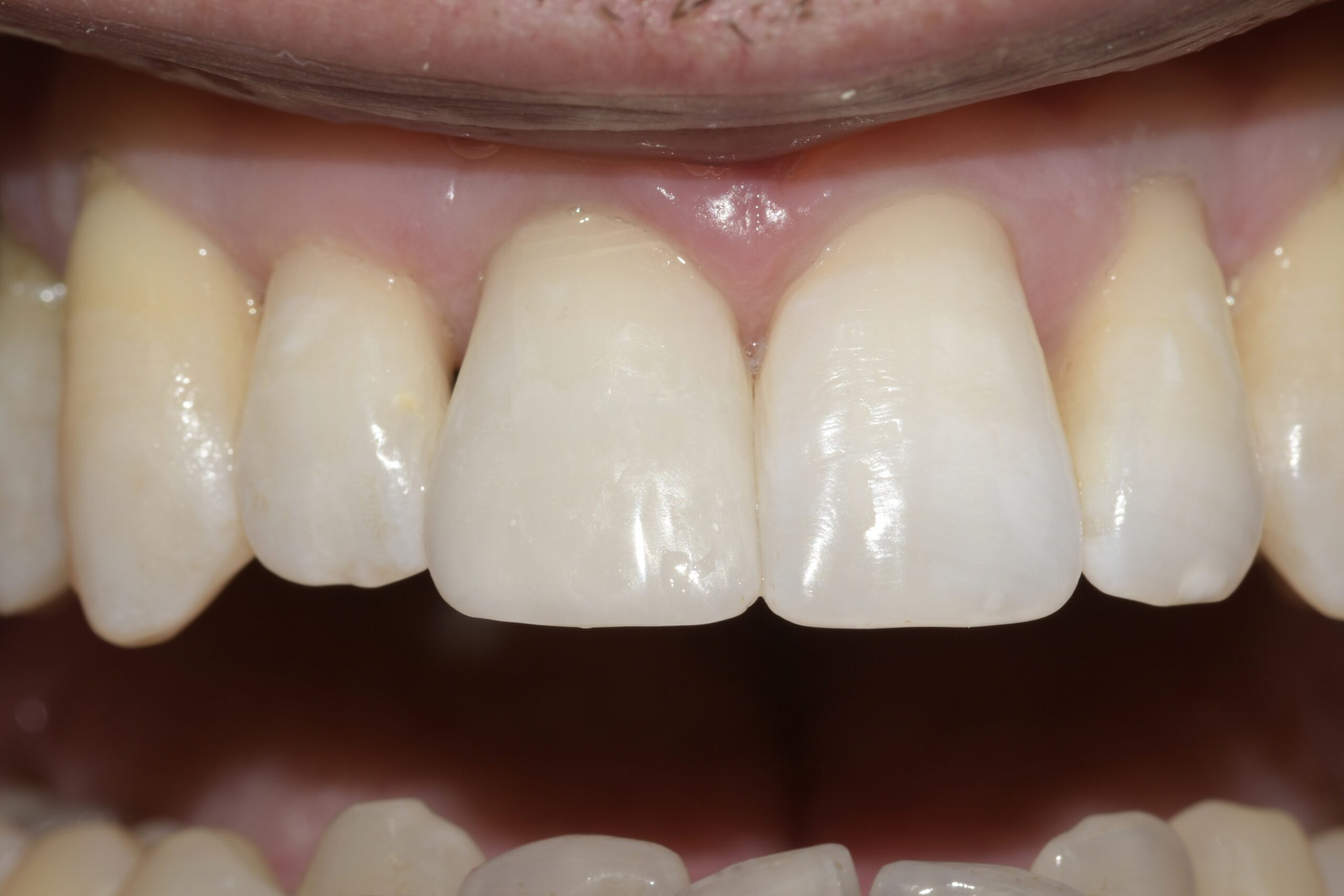
Il paziente si presenta in studio a causa dell’incisivo superiore di destra, devitalizzato, che presenta un colore inaccettabile da un punto di vista estetico; tale situazione rendeva difficile al paziente l’esposizione dei denti tramite il sorriso. In seguito ad esame radiografico, viene riscontrato un trattamento endodontico non completo e un restauro in composito con perdita di sigillo marginale. L’elemento dentale è stato ritrattato endodonticamente e, in seguito a decolorazione interna tramite perossido d’idrogeno, è stato riportato ad un colore in linea con gli elementi adiacenti. Una volta ottenuto un colore soddisfacente, è stato eseguito un nuovo restauro adesivo estetico in composito. Il paziente è tornato finalmente a sorridere.

Caso clinico

La giovane paziente, si presenta alla nostra attenzione, perché insoddisfatta dell’estetica dei suoi denti anteriori. Dall’esame clinico e radiografico si riscontrano l’incisivo laterale di destra devitalizzato e di colore scuro e l’incisivo centrale di destra con un restauro incongruo. In seguito a decolorazione interna con perossido d’idrogeno e dei nuovi restauri adesivi estetici in composito, gli elementi dentali sono stati riportati ad un’estetica idonea.
PRIMA
DOPO
PRIMA
DOPO

Caso clinico

Il paziente si presenta alla nostra osservazione perché non soddisfatto dell’estetica del suo incisivo superiore di destra, devitalizzato, poiché discromico e con un restauro non congruo per forma e colore. Il trattamento ha previsto sbiancamento esterno con gel di perossido d’idrogeno tramite mascherina prodotta in stampa 3D ed esecuzione di un nuovo restauro soddisfacente da un punto di vista estetico e funzionale.