Studio Odontoiatrico Forlì Dentista

ORtodonzia Invisibile

Studio Odontoiatrico Forlì Dentista
Allineatori Invisibili Forlì Studio Odontoiatrico

Ortodonzia Invisibile

L'Ortodonzia con Allineatori Trasparenti

Tramite una partnership con una delle principali aziende americane leader del settore è possibile allineare, in determinati casi, i denti senza ricorrere al classico apparecchio fisso.

Attraverso una serie di mascherine dal minimo impatto visivo, diventa possibile spostare ed allineare i denti in maniera estremamente prevedibile, annullando i disagi dell’apparecchio tradizionale. Grazie ad una scansione intraorale della bocca, viene inviata la situazione di partenza ad una equipe di ortodontisti che, nel giro di pochi giorni, proporranno una possibile soluzione, visualizzabile in studio grazie ad un rendering 3D, consentendo la massima interazione e pre visualizzazione da parte del paziente.

PRIMA
DOPO

Previsualizzazione rendering 3D

Allineatore Invisibile Forlì Studio Odontoiatrico

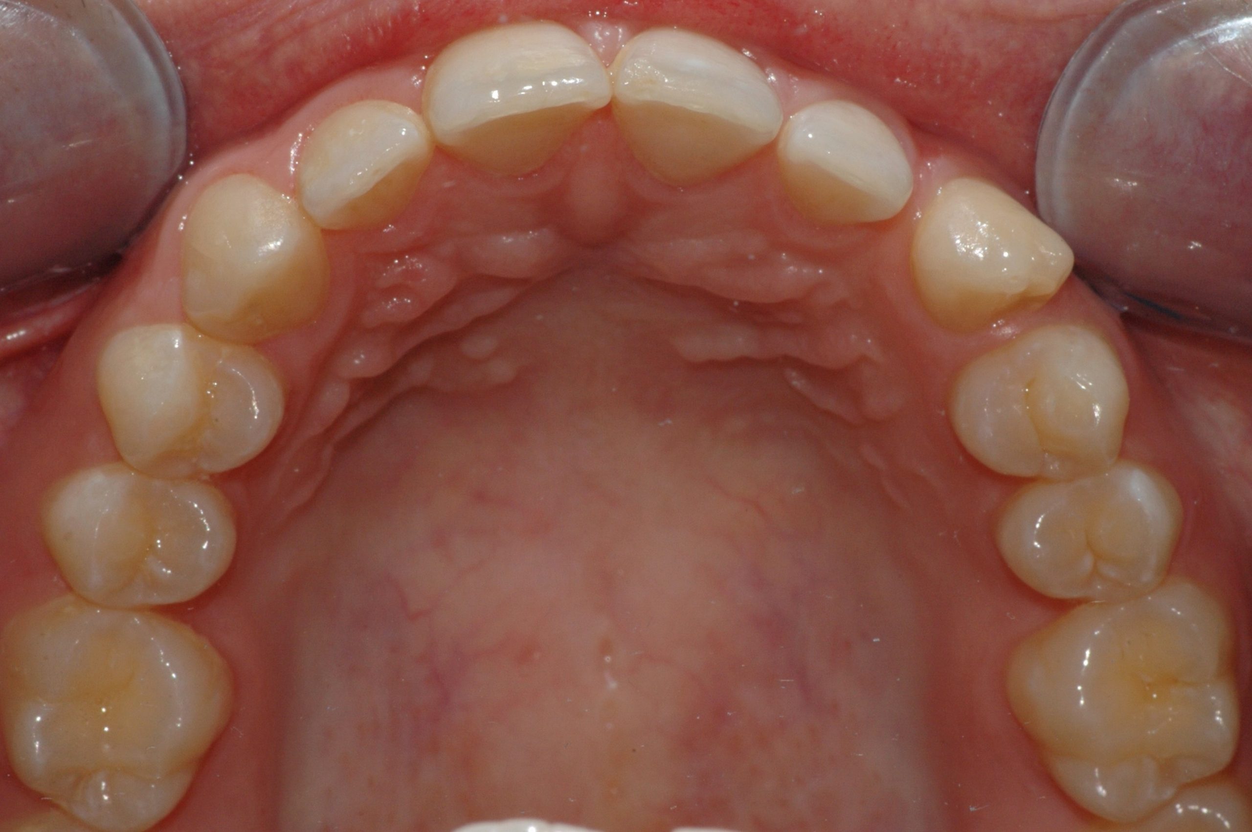
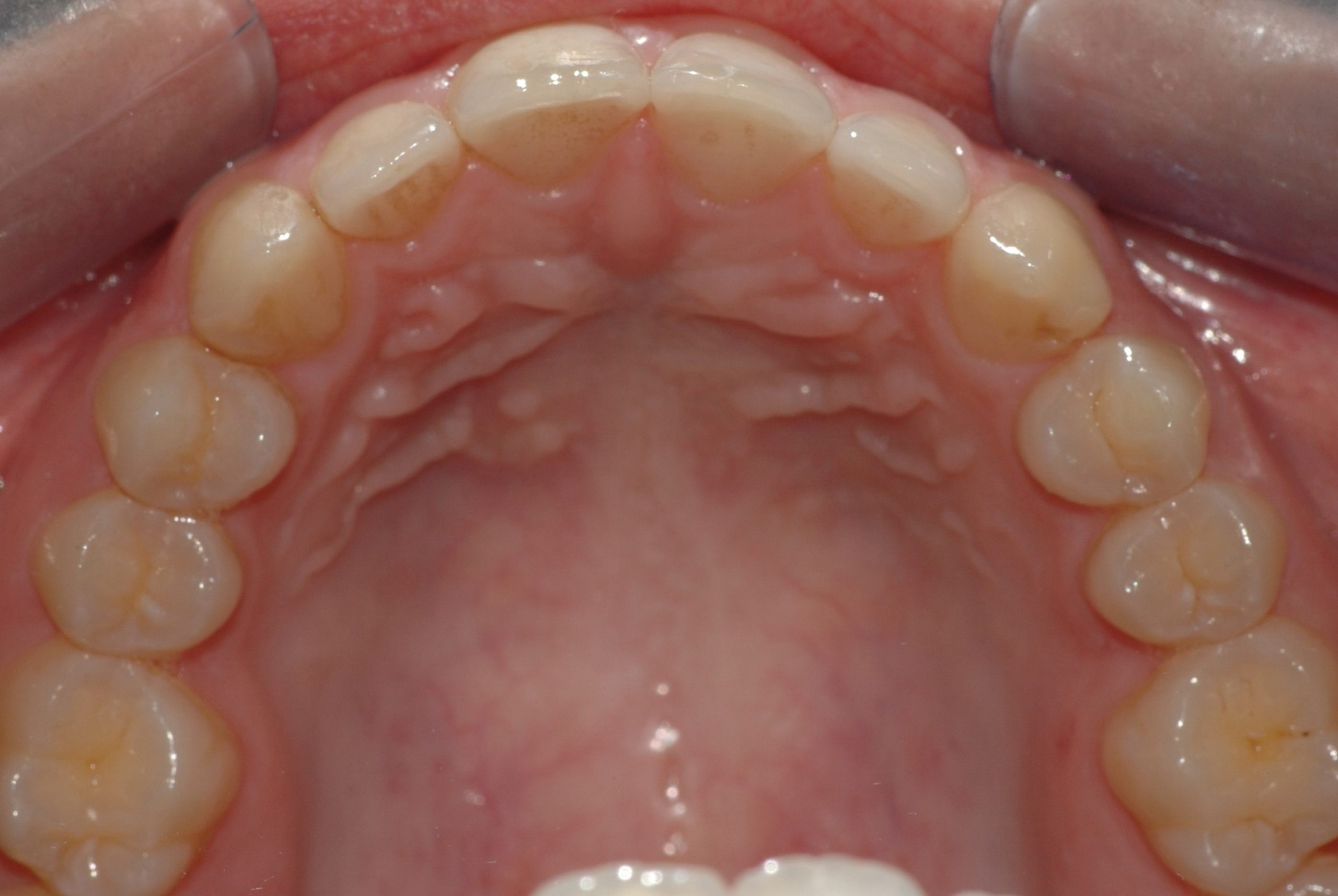
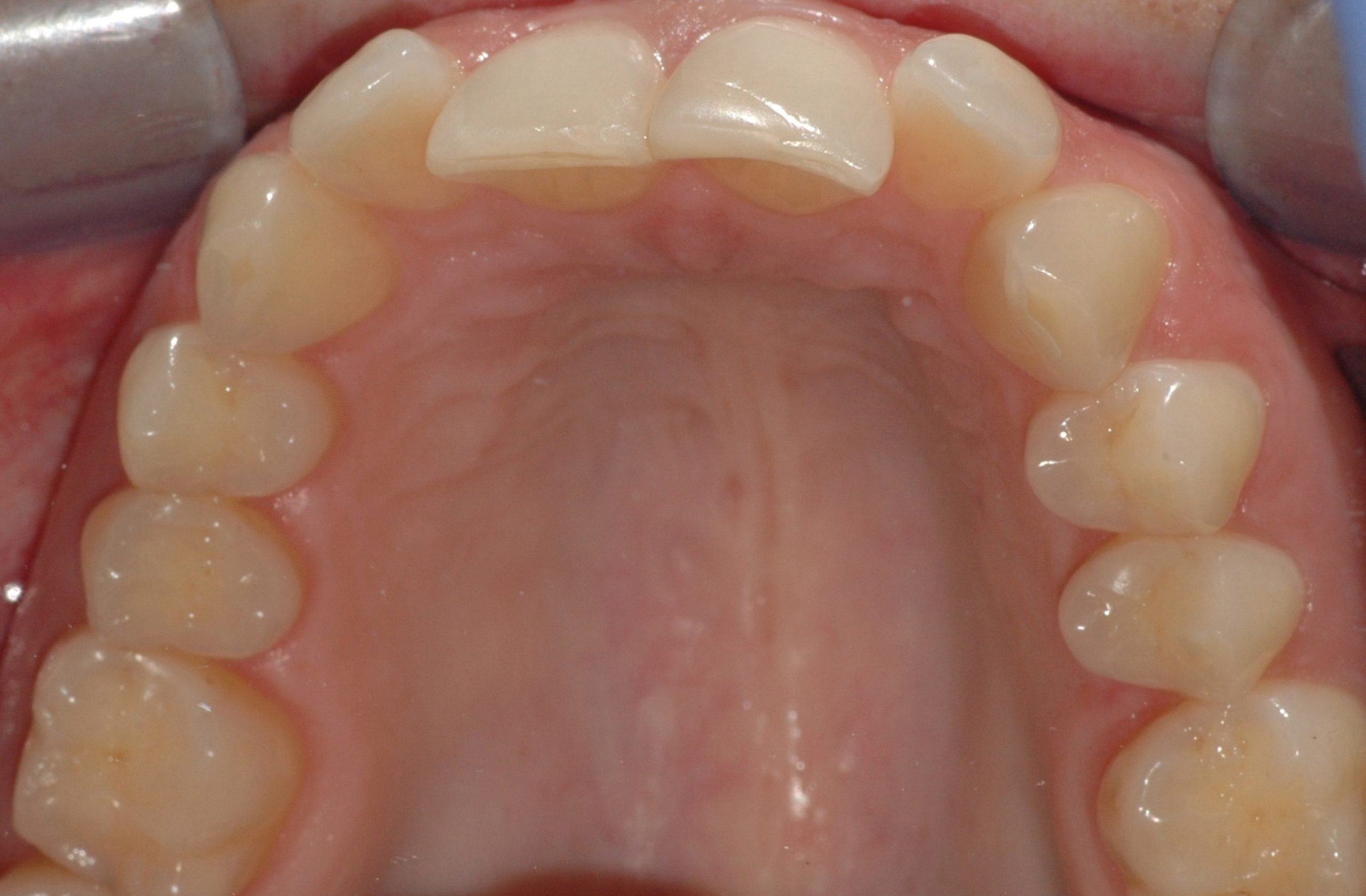
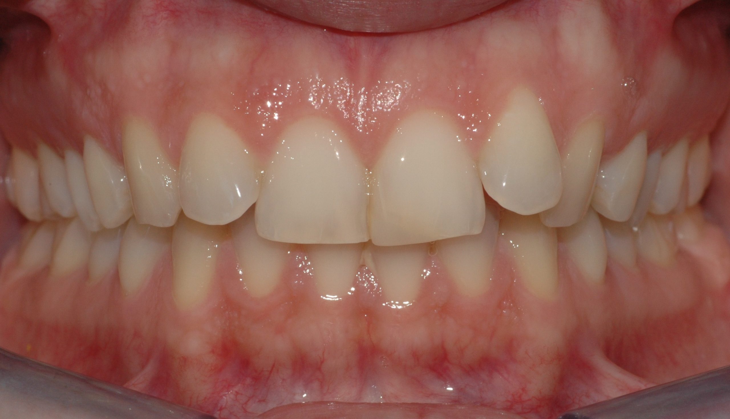
Caso clinico

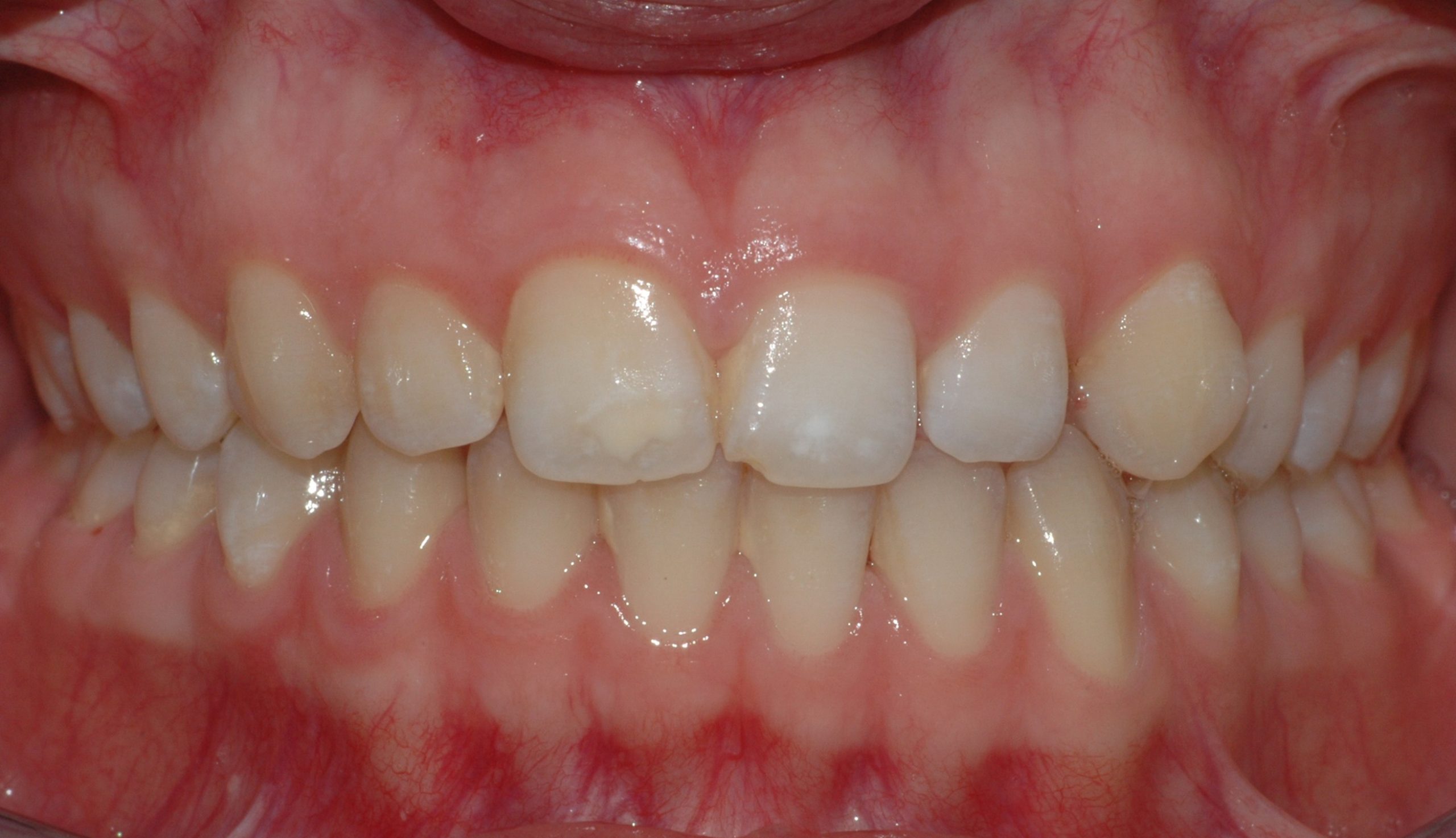
La paziente presenta malposizione degli incisivi antero-superiori, in particolare un forte sventagliamento degli incisivi laterali. In seguito a trattamento con allineatori trasparenti, durato 9 mesi, si è ottenuto un allineamento pienamente soddisfacente.

PRIMA
DOPO
PRIMA
DOPO
PRIMA
DOPO
PRIMA
DOPO

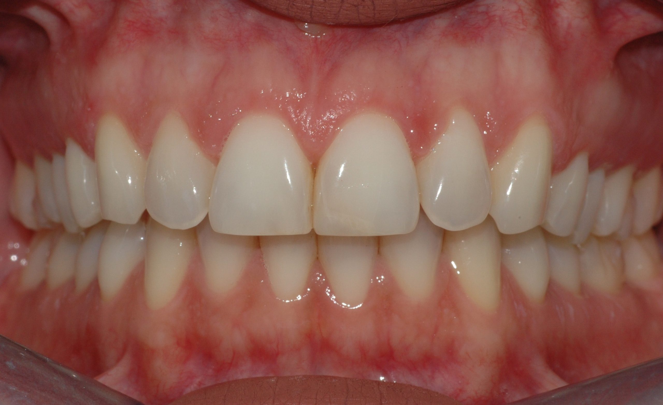
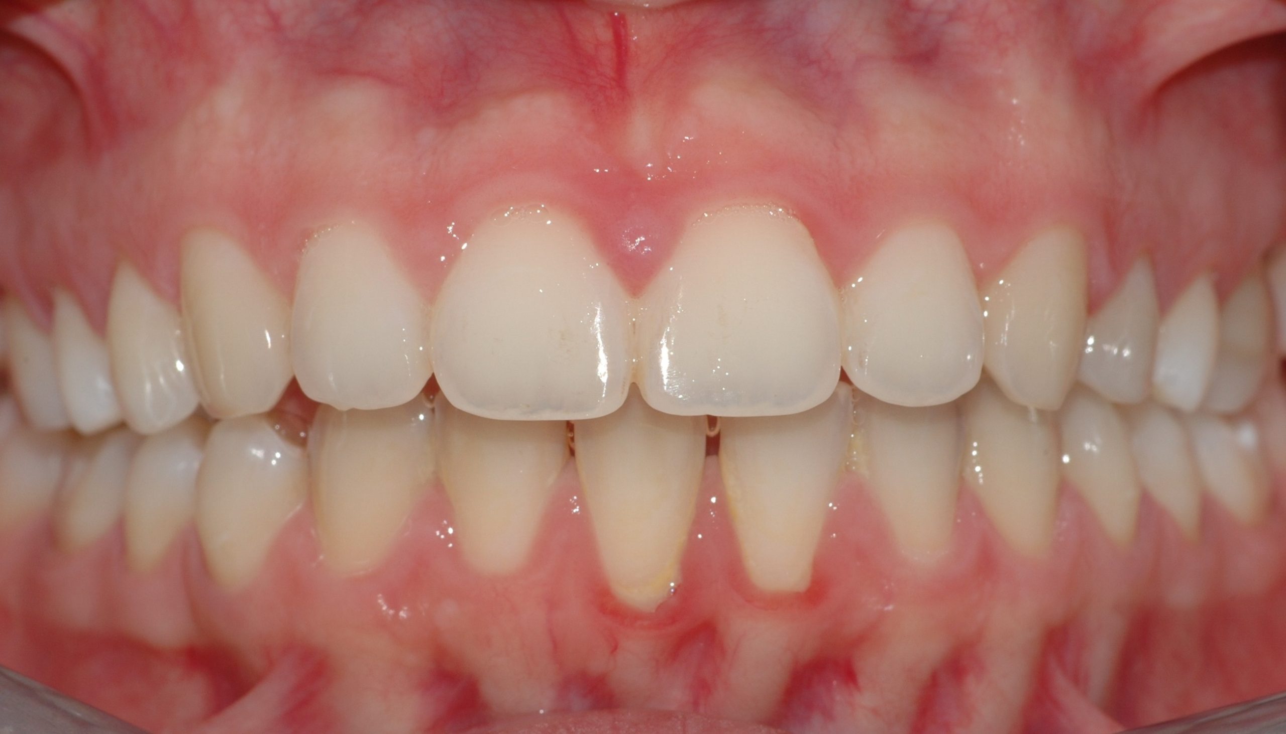
Caso clinico

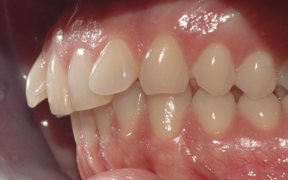
La paziente si presenta a causa del malposizionamento del canino superiore di sinistra, ruotato lungo il suo asse di quasi 90 gradi. In seguito ad un trattamento con allineatori trasparenti di circa 7 mesi, il dente è stato portato in posizione assolutamente idonea.

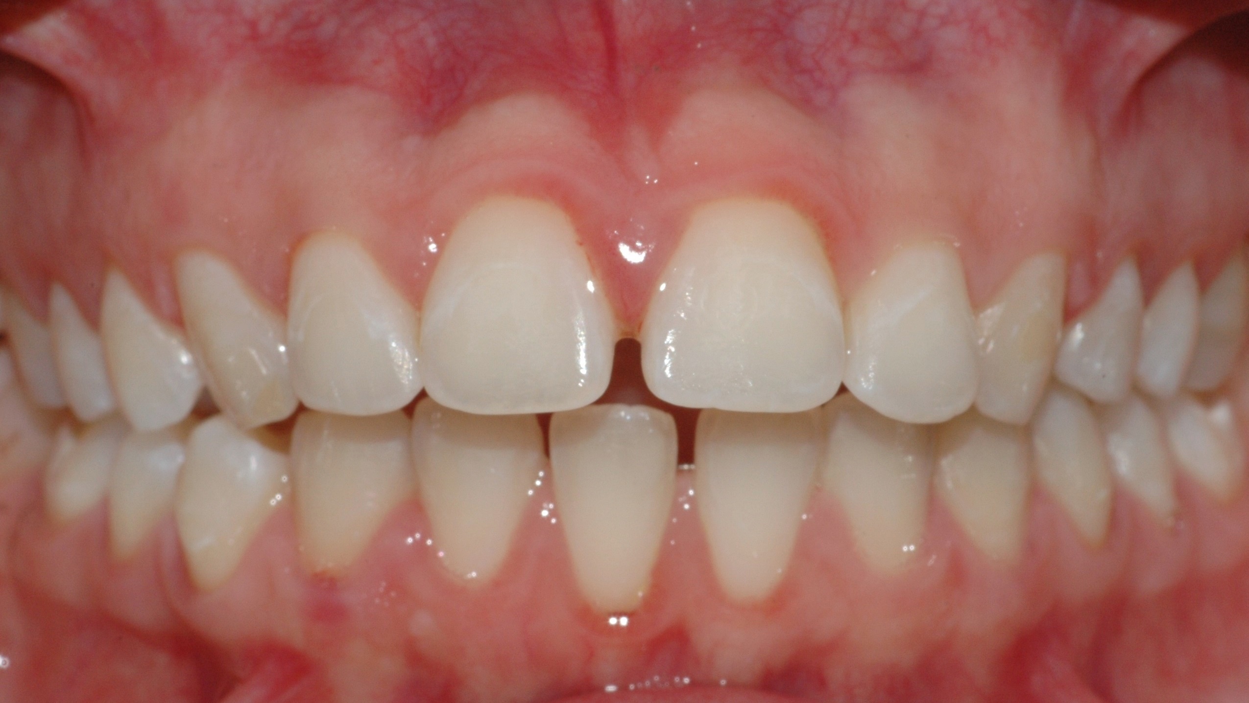
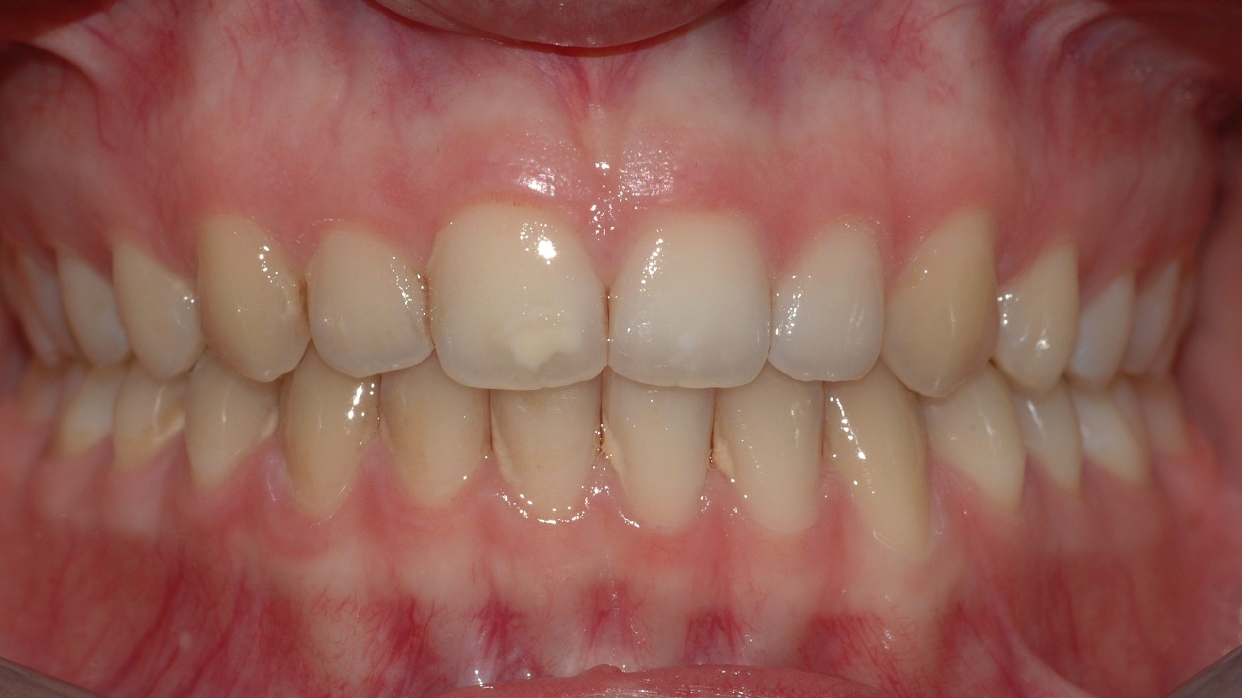
Caso clinico

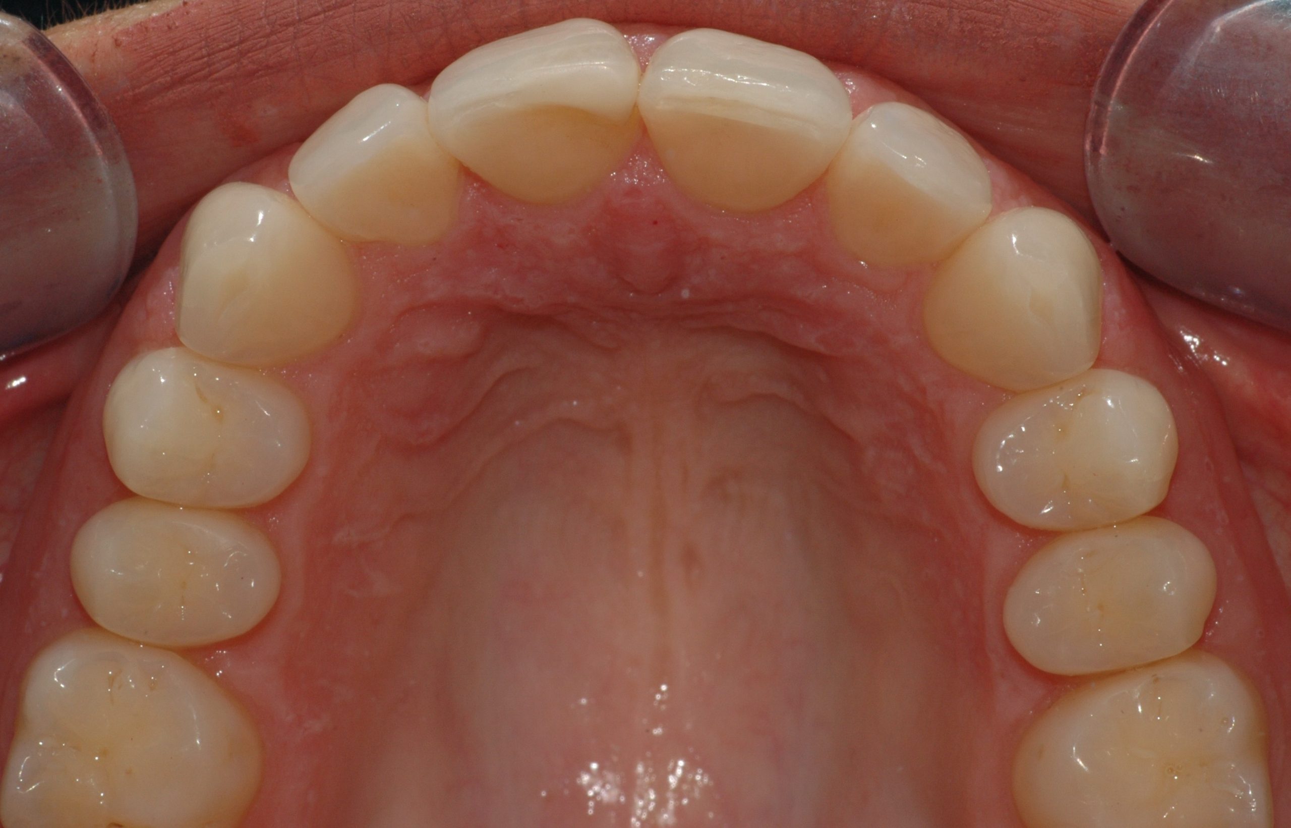
La paziente si presenta con la richiesta di chiudere il diastema presente tra gli incisivi superiori, sia per motivi estetici, sia a causa di una forte infiammazione gengivale provocata dall’intasamento alimentare (food impaction) nello spazio aperto. In 6 mesi di tempo, il trattamento tramite allineatori, ha chiuso lo spazio e risolto il problema a livello gengivale.

PRIMA
DOPO